POSTS
10
mayo 2016
Hello world!
PORTFOLIO
SEARCH
  • Text Hover
¿Y si te dijera que es posible hacer lo imposible?

¿Por qué tu boca iba a ser diferente? 
NUESTRO MÉTODO
Descubre la formula definitiva para el tratamiento de casos complejos que te permitirá recuperar la armonía de tu boca.

Porque una boca armónica es bella, funcional y estable en el tiempo.
  • Text Hover
Un video de 2 minutos para explicarte nuestro método de trabajo basado en la armonía
que permite hacer posibles el tratamiento de casos dentales complejos.
EN EL SIGUIENTE VÍDEO
1
Descubre los pilares en los que se basa nuestro método de trabajo y porqué lo hacen diferente.
2
Entenderás porque nuestro método de trabajo se basa en la armonía.
3
Te explicamos el paso a paso de nuestro proceso de trabajo y como te ayudará a recuperar la estética y función de tu boca.
  • Text Hover

UN PEDACITO DE NOSOTROS

Clínica Salomó somos una clínica familiar que ha pasado de padres a hijos durante 3 generaciones, desde 1947, donde lo más valioso que hemos heredado es la pasión por esta profesión. Porque por mucho que pase el tiempo, la emoción que sentimos al finalizar un caso complejo, al devolverle la armonía, la función y la estética a esos pacientes que creían que era imposible, nos sigue emocionando como el primer día.
  • Text Hover

VUELVE A SONREÍR

A diario vemos en nuestra consulta, pacientes con miedo, inseguridad, que no se atreven a sonreír por vergüenza. Pacientes con dolor, y no sólo el dolor que puede generar un problema dental, sino dolor por no poder comer, por haber tenido que renunciar al placer de disfrutar de la comida. 

Todos ellos necesitan encontrar un espacio, en el actual mercada saturado de clínicas dentales, una pequeña isla donde sentir que el cambio que están buscando es posible. Que les devuelva de forma definitiva la armonía a su boca, que les devuelva la función, la estética, en definitiva, la sonrisa.
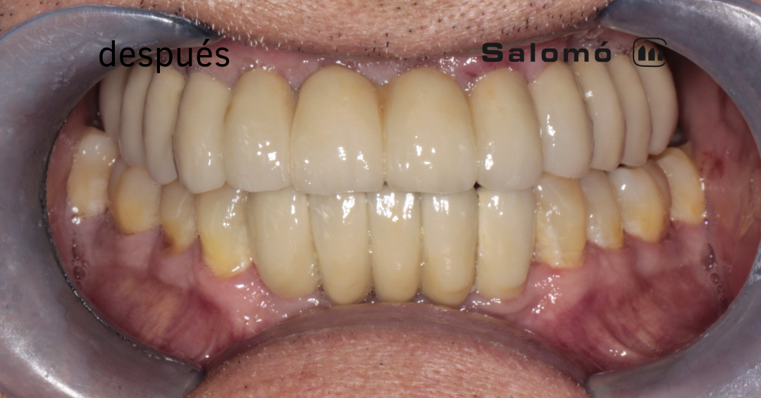
NUESTROS IMPOSIBLES
Como una imagen vale más que mil palabras, os mostramos una pequeña muestra de lo que nuestro equipo multidisciplinar es capaz de hacer